
Your Trusted Diamond+ Invisalign Provider

Welcome to Gold Coast Family Dental of Port Washington
Welcome to Gold Coast Family Dental of Port Washington, where your smile comes first! As your trusted dentist in Port Washington, we offer all in-house dental care services, including endodontics, orthodontics, cosmetic dentistry, and general dentistry. Our commitment is to provide you with the highest-quality dental care treatments in a warm and comfortable environment. With a state-of-the-art facility, we offer the latest advancements in dental treatments to ensure optimal care.
At Gold Coast Family Dental of Port Washington, personalized care is our priority. We begin by listening to your concerns and needs and then offer tailored treatment options to help you achieve a healthy, beautiful smile. Trust is the foundation of everything we do at our dental practice. Our friendly dentists and experienced team are dedicated to providing compassionate, high-quality care that helps you achieve a healthy, confident smile. We look forward to welcoming you to our dental family and building a long-lasting relationship based on comfort, care, and trust.
Transforming Smiles With Advanced Care
The Experts Behind Your Smile
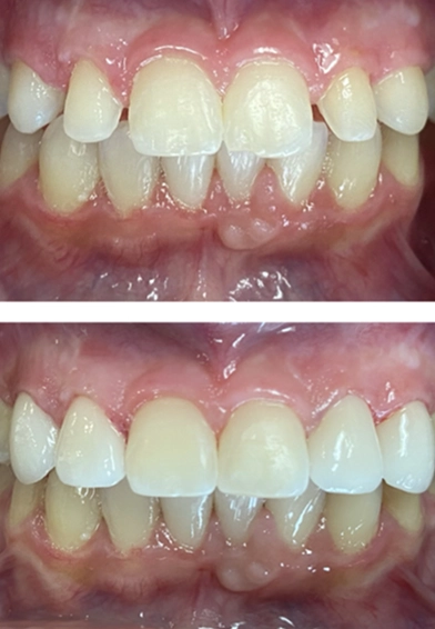
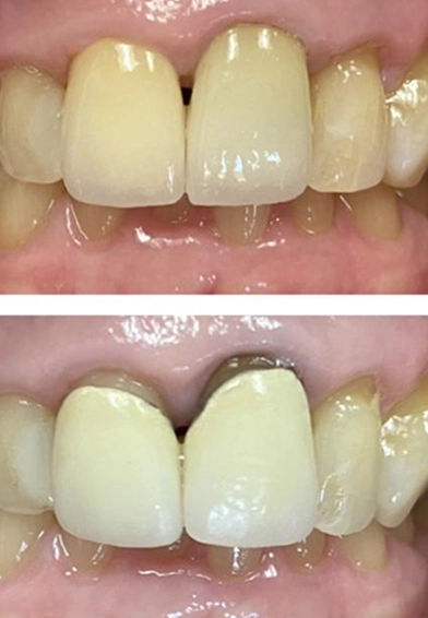
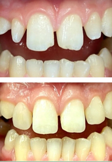
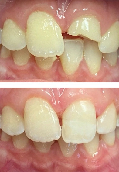
Stunning Smile Transformations

Invisible Braces, Visible Results
We proudly specialize in Invisalign®, and as an Invisalign® Diamond+ Provider, we offer a high level of expertise in clear aligner therapy—without the need for wires or brackets. Invisalign® comfortably and discreetly straightens your teeth while allowing you to enjoy the foods you love and maintain your normal brushing and flossing routine.
Invisalign® corrects many orthodontic issues without the hassles of traditional braces. This means no unattractive metal wires, no uncomfortable glued-on brackets, and no annoying rubber bands that can leave your mouth sore. Using a series of clear, custom-fit, and removable aligners, we can help straighten your teeth efficiently. In most cases, Invisalign® treatment takes about a year.
Because the aligners used in the Invisalign® treatment process are removable, you can continue eating your favorite foods (steak, corn, and bubble gum don’t mix well with traditional braces) without restrictions.














